一個新的緊湊型高性能小動物磁共振成像平臺(M3),該系統使用一種新的磁鐵設計和一套相關的軟件,降低了小動物磁共振成像儀的成本和復雜性。這個新的MRI平臺為沒有磁共振或成像專業知識的病理學家提供了獲得活體實驗動物MRI和離體MRH高質量圖像的機會,從而可以大大增強臨床前毒理學研究和動物疾病模型開發中的常規組織病理學研究。

與超導小動物磁共振成像系統不同,緊湊型高性能小動物磁共振成像平臺是可移動式和自屏蔽的,因此M3可以放置在大多數實驗室或研究設施中,不需要特殊的屏蔽室、冷凍劑或冷卻劑,也不需要專用的電氣或管道供應。此外,緊湊型高性能小動物磁共振成像平臺具有專用的軟件和硬件以及預先編程的協議和樣本處理系統,以方便病理學家對活體動物或離體的動物樣本進行高通量成像。

緊湊型高性能小動物磁共振成像平臺的優點是能夠縱向監測疾病(活體MRI)和快速獲取離體組織的多個切片(離體MRH),從而提供整個靶器官的三維數字形態學詳細數據,同時保持標本完整,以便后續常規組織病理學檢查。與傳統組織病理學提供的有限數量的二維(2-D)組織切片相比,核磁共振技術可以對毒理學效應和疾病進展進行更全面的評估。
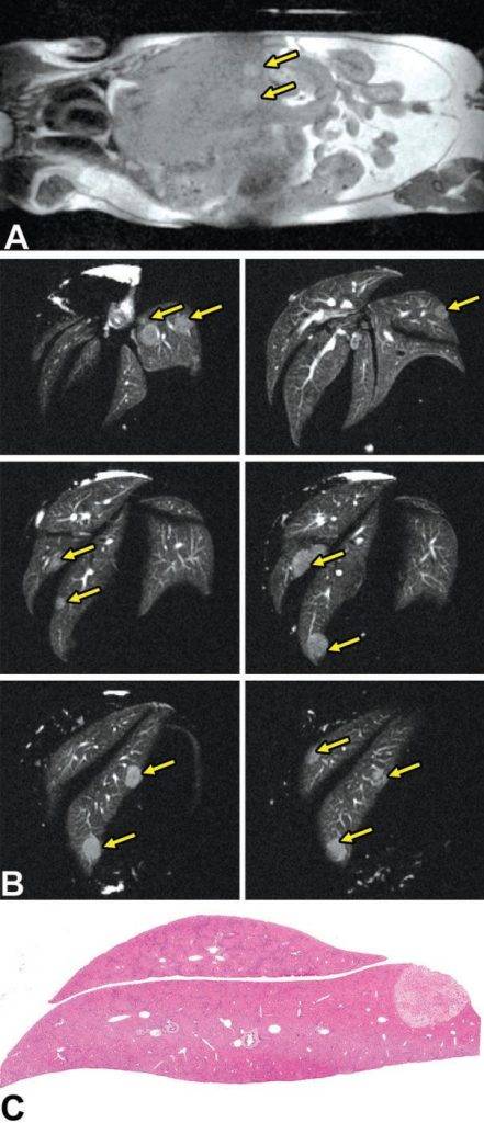
活體磁共振成像在模型小鼠中檢測到局灶性肝損傷(圖A)。肝臟的高分辨率離體MRH評估可以在小鼠(圖B和C)中鑒定幾個單獨的局灶性脂肪病變。通過常規組織病理學證實病變為局灶性脂肪改變(圖C)。

Aspect M7?小動物核磁共振成像系統

電話:400-060-3233
售后:400-060-3233
返回頂部